

東京都文京区小石川1-5-1パークコート文京小石川ザタワー111都営三田線 春日駅A5・A8出口徒歩0分☎03-3812-1821循環器内科・内科・皮膚科
寺田医院
当院では最新式の換気システム、オゾン発生器による空気の清浄化を24時間行っておりますお知らせ
2025/11/27
年末年始のお休み
12月28日~1月4日
2025/11/2
10月1日より公費対象者のインフルエンザワクチン接種、コロナワクチン接種が始まっております。どちらも予約不要で接種を行っております。ただしインフルエンザワクチンの経鼻接種、コロナワクチンの自費での接種は当院では行っておりません。
2025/09/01
発熱の患者さんは随時診療しております。予約は不要ですが受診の際は受付で『発熱,風邪での受診です』とお声かけください。
風邪で来院の患者さんのみにマスクの着用をお願いしています.
文京区の特定健診、高齢者健診につきましても予約不要です。
初診患者さんの受付は今月より
平日午前中は12:30 午後は18:30
土曜日は11:30までとさせていただきます。ご了承ください。
当院の特徴
当院は、「親切」、「丁寧」、「迅速」をモットーに 患者さんが安心して受診していただけるよう心掛けて手作りの医療を営んでおります。どの診療科へ受診すべきなのかなど何か気になる点、ご不明な点ございましたらお気軽にお越しください。信頼のおける近隣医療機関、基幹病院へもご紹介いたします。
医院長 医学博士 弓幸史
1983年:日本大学医学部卒業、駿河台日大病院循環器科、
駿河台日大病院救急センタ (CCU)に勤務
1987-1989年:銚子市立総合病院に内科医長として勤務
1992-1994年:米国UCLA関連病院 Cedars Sinai Medical Centerに留学
1996年:寺田医院開業
所属学会:日本循環器学会専門医、日本内科学会認定医
日本医師会認定産業医
所属地区医師会:小石川医師会
診療科目

循環器内科

内科

皮膚科
診療時間
月火水金:9:30-13:00、15:00-19:00
土:9:00-12:00
木日・祝日:休診連携基幹病院
当クリニックは、他の医療機関と緊密な診療連携を結んでいますので、
入院や精密な検査が必要な際には、適切なタイミングでのご紹介が可能です。https://www.juntendo.ac.jp/hospital/
https://www.nihon-u.ac.jp/hospital/
https://www.nms.ac.jp/hosp/
https://www.tmd.ac.jp/medhospital/
https://shinjuku.jcho.go.jp/
http://www.bunkyo-med.or.jp/
https://www.city.bunkyo.lg.jp/
院内設備紹介

一般レントゲン検査

心電図
心臓は血液を全身に送り出すポンプです。ポンプの働きをするときは非常に小さな電流が流れます。体の表面でその電気を記録したものが心電図です。記録された波形の変化やリズムの変化から、心臓の筋肉の障害(狭心症や心筋梗塞など)や不整脈(期外収縮や心房細動など)がないか調べます。

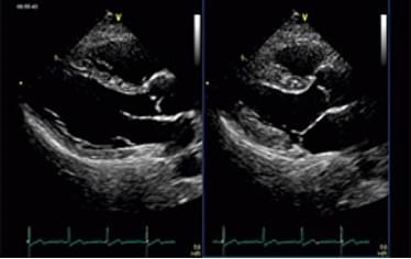
心臓超音波検査
心臓の形態や血流情報を直接超音波で画像化することで、より精密な心臓検査が可能です。心筋梗塞、弁膜症、心筋症、心肥大などの診断をいたします。心電図異常や心雑音を指摘された方には、非常に有用な検査です。

頸動脈超音波検査
頚動脈は心臓からの血液を脳に送り届ける血管です。年齢とともに動脈硬化が進行しますが、この頚動脈硬化症は最終的には脳梗塞を引き起こすことがあるため早期発見が重要です。また、頚動脈の動脈硬化性変化は、心臓など他の血管の動脈硬化と関連があるため、頚動脈の状態をみて全身の動脈硬化度をチェックすることができます。
腹部超音波検査
慢性の肝臓疾患、急性腹症の診断に対応いたします。

血圧脈波検査
血管を流れる血液の脈動の速さや四肢の血圧を測り、血管の硬さと狭窄(動脈硬化の程度)を調べ血管年齢がわかります。

呼吸機能検査
喘息、慢性閉塞性肺疾患(COPD)、間質性肺疾患をはじめとする、呼吸器の病気を調べる検査です。検査は「スパイロメーター」という計測機器を用いて行います。肺年齢がわかります。

24時間ホルター心電図
通常の心電図検査では、10拍ほどの心電図波形を記録します。自覚症状がなく正常な波形であれば問題はありませんが、不整脈や波型の異常が記録された場合や、心電図を記録したときは症状がなくても それ以外の時に症状がある場合は、これだけでは判断ができません。そこで、24時間自由行動下で連続して心電図を記録して、診断を試みる検査がホルター心電図です。
睡眠時無呼吸症候群の検査
睡眠時無呼吸症候群(Sleep Apnea Syndrome)とは、眠っている間に呼吸が止まる病気。そのスクリーニングとして、病院でも使用されている医療機器を使用し、ご自宅で一晩、スクリーニング検査を行います。

顕微鏡検査
足爪白癬、カンジダ症などの検査を迅速に行い適切な治療を行います。
アクセス
東京都文京区小石川1-5-1パークコート文京小石川ザタワー111月火水金:9:30-13:00、15:00-19:00
土:9:00-12:00
木日・祝日:休診03-3812-1821都営三田線春日駅A5・A8出口より徒歩0分













